Main Navigation
Main Content
Sidebar
Register
Login
English
ภาษาไทย
Toggle navigation
Current
Archives
Submissions
Announcements
About
About the Journal
Editorial Team
Publication Ethics
Search
Home
Archives
Vol. 28 No. 2 (2022): April - June
Published:
25-08-2022
Full Issue
PDF
Review Article
Role of tolvaptan to treat acute heart failure
Ratthaphon Chitthai, Bancha Satirapoj
4-16
PDF
Efficacy and safety of tolvaptan among patients with hyponatremia from SIADH
Orakan Lanwong, Kumtorn Lelamali
17-29
PDF
Hypokalemia among patients undergoing peritoneal dialysis
Watthikorn Pichitporn, Talerngsak Kanjanabuch
30-40
PDF
Diuretics and clinical application
Napun Sutharattanapong, Bunyong Phakdeekitcharoen
41-49
PDF
Original Article
Benefit of add on low dose oral tolvaptan to loop diuretics among patients with acute decompensated heart failure: a randomized controlled trial
Ratthaphon Chitthai, Jingjo Saisa-ard, Pitchamon Inkong, Amnart Chaiprasert, Naowanit Nata, Pamila Tasanavipas, Narittaya Varothai, Paramat Thimachai, Ouppatham Supasyndh, Bancha Satirapoj
50-59
PDF
Tacrolimus dose prediction during the perioperative period among Thai kidney transplant recipients
Arissara Lerkchavee, Natavudh Townamchai
60-67
PDF
Efficacy and safety of intermittent bolus compared with continuous drip of 3%NaCl in patients with severe symptomatic hyponatremia in Rajavithi Hospital
Orakan Lanwong, Kumtorn Lelamali
68-80
PDF
Clinical Pathology
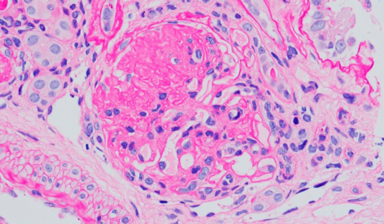
IgA nephropathy: A Case Report and Literature Review
ธันยธร จุ่งรุ่งเรือง, อังคนีย์ ชะนะกุล, จีรสิทธิ์ สุรินทร์สภานนท์
81-86
PDF
นโยบายการคุ้มครองข้อมูลส่วนบุคคล
Privacy policy